Tụt lợi khi niềng răng là tình trạng phần nướu (lợi) bị teo rút, di chuyển về phía chóp làm lộ chân răng. Nguyên nhân chủ yếu do vệ sinh răng miệng kém, chải răng sai cách hoặc bác sĩ dùng lực siết quá mạnh. Dấu hiệu điển hình là răng trông dài hơn, ê buốt và dễ chảy máu. Theo Bệnh viện Răng Hàm Mặt Sài Gòn Tâm Đức, tình trạng này có thể khắc phục triệt để bằng cách lấy cao răng, điều chỉnh lực siết hoặc phẫu thuật ghép nướu nếu phát hiện sớm.
Tụt lợi khi niềng răng là gì?
Tụt lợi (Gingival Recession) hay teo rụt nướu là tình trạng mô nướu bao quanh viền cổ răng bị mất đi, mỏng dần và co rút về phía chóp chân răng. Hệ quả là làm bộc lộ phần ngà răng và chân răng nhạy cảm ra môi trường bên ngoài khoang miệng.
Trong quá trình chỉnh nha, sự thay đổi liên tục của cấu trúc xương hàm và sự di chuyển của các chân răng dưới tác động của khí cụ khiến mô nướu trở nên vô cùng nhạy cảm. Nếu không được bảo vệ đúng cách, lớp nướu này rất dễ bị viêm nhiễm và teo rút, không chỉ làm giảm thẩm mỹ mà còn đe dọa trực tiếp đến sự vững chắc của chiếc răng đang được nắn chỉnh.
Dấu hiệu nhận biết lợi đang bị tổn thương và co rút
Trong giai đoạn đầu, hiện tượng co rút nướu diễn ra vô cùng âm thầm và chậm chạp, khiến nhiều khách hàng chủ quan bỏ qua. Tuy nhiên, bạn hoàn toàn có thể tự kiểm tra sức khỏe nướu tại nhà thông qua các dấu hiệu điển hình sau:
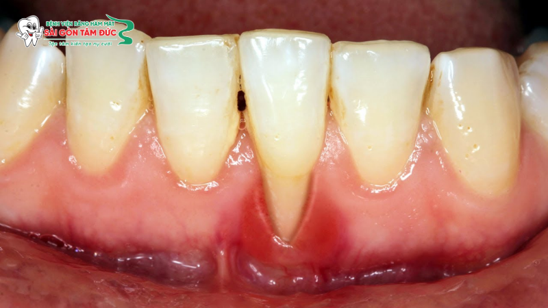
- Răng trông dài hơn bình thường: Đây là dấu hiệu trực quan dễ nhận thấy nhất. Phần chân răng màu vàng sậm bị lộ ra khỏi viền nướu hồng.
- Khe hỡ giữ các răng: Các kẽ hở (lỗ hổng) lớn xuất hiện giữa các chân răng do gai nướu bị teo đi.
- Nướu sưng đỏ, nhạy cảm: Nướu chuyển từ màu hồng nhạt sang đỏ sẫm, dễ bị chảy máu khi bạn chải răng hoặc dùng tăm nước.
- Cảm giác ê buốt rõ rệt: Răng trở nên cực kỳ nhạy cảm, có cảm giác châm chích, đau buốt khi ăn thức ăn chua, ngọt hoặc uống nước quá nóng/lạnh.
- Hơi thở có mùi hôi: Thức ăn dễ dàng giắt vào các khe hở ở chân răng bị lộ, tạo điều kiện cho vi khuẩn phân hủy gây mùi hôi dai dẳng.
- Răng lung lay nhẹ: Cảm giác răng không còn được bám giữ chắc chắn trên cung hàm.
5 Nguyên nhân chính khiến tụt lợi khi niềng răng
Hiện tượng teo rút nướu không tự nhiên sinh ra. Nó là hệ quả cộng dồn của nhiều yếu tố chủ quan từ thói quen của bệnh nhân và khách quan từ kỹ thuật điều trị. Bệnh viện Răng Hàm Mặt Sài Gòn Tâm Đức đã tổng hợp 5 thủ phạm chính gây ra tình trạng này:
Vệ sinh răng miệng kém, tích tụ cao răng
Sự hiện diện của hệ thống mắc cài, dây cung tạo ra vô số góc khuất lý tưởng để mảng bám thức ăn trú ngụ. Nếu bạn lười chải răng hoặc vệ sinh qua loa, vi khuẩn sẽ nhanh chóng vôi hóa mảng bám thành cao răng. Lớp cao răng cứng chắc này sẽ chèn ép, kích thích nướu liên tục, gây viêm nha chu và phá hủy mô liên kết, ép nướu tụt dần xuống.
Lực siết khí cụ không phù hợp (Sai kỹ thuật)
Đây là nguyên nhân thuộc về lỗi y khoa. Quá trình dịch chuyển răng đòi hỏi một lực kéo sinh cơ học vừa đủ, liên tục và cực kỳ chuẩn xác. Nếu bạn thực hiện tại các phòng khám kém chất lượng, bác sĩ tay nghề yếu dùng lực siết dây cung quá mạnh hoặc quá đột ngột, răng sẽ bị ép di chuyển nhanh hơn tốc độ tái tạo của xương hàm. Hậu quả là xương ổ răng bị tiêu ngót, đứt gãy mô liên kết và nướu tụt nhanh chóng.
Chải răng sai kỹ thuật
Nhiều người có thói quen dùng bàn chải lông cứng và chà xát ngang trên bề mặt răng với lực rất mạnh, nhằm mục đích làm sạch thức ăn vướng trên mắc cài. Thói quen tai hại này không chỉ làm xước, mòn men ở vùng cổ răng mà còn vô tình bào mòn luôn lớp nướu mỏng manh bảo vệ chân răng.
Không điều trị dứt điểm bệnh lý nền trước khi niềng
Nguyên tắc bắt buộc trước khi gắn khí cụ là khoang miệng phải hoàn toàn khỏe mạnh. Nếu bạn đang mắc các bệnh lý như viêm nướu, viêm nha chu mà bác sĩ vẫn cố tình làm ngơ, bỏ qua bước điều trị triệt để mà tiến hành kéo răng ngay, hệ thống nha chu vốn đã yếu sẽ nhanh chóng sụp đổ dưới tác động của lực siết mắc cài.
Chế độ ăn uống và thói quen xấu
Việc thường xuyên ăn các thực phẩm quá cứng, quá dai (như kẹo dẻo, sụn, các loại hạt) đòi hỏi lực cắn xé mạnh, tạo áp lực khổng lồ lên hệ thống răng đang dịch chuyển. Bên cạnh đó, tật nghiến răng khi ngủ hay thói quen hút thuốc lá (làm giảm lưu lượng máu nuôi nướu) cũng là những yếu tố đẩy nhanh quá trình thoái hóa của mô nướu.
Biến chứng nguy hiểm nếu không can thiệp kịp thời
Đừng bao giờ coi thường dấu hiệu nướu bị co rút! Nếu bạn chần chừ và bỏ lỡ giai đoạn vàng để điều trị, những tổn thương này sẽ không thể tự phục hồi và dẫn đến các biến chứng cực kỳ tồi tệ:
- Ê buốt mạn tính: Chân răng bị lộ không có lớp men bảo vệ sẽ cực kỳ nhạy cảm. Bạn sẽ phải sống chung với cảm giác đau buốt thường trực mỗi khi ăn uống, đánh răng hay hít thở không khí lạnh, làm suy giảm nghiêm trọng chất lượng cuộc sống.
- Mất thẩm mỹ trầm trọng: Răng trông dài và mất cân đối, nụ cười xuất hiện những khe thưa lớn (tam giác đen) không thể đóng kín bằng niềng răng, khiến bạn hoàn toàn mất tự tin.
- Nguy cơ rụng răng vĩnh viễn: Đây là hậu quả đáng sợ nhất. Khi nướu và xương ổ răng (hệ thống nâng đỡ) bị tiêu biến hoàn toàn, chân răng không còn điểm tựa sẽ trở nên lung lay dữ dội và rụng sớm. Mọi nỗ lực và chi phí niềng răng của bạn sẽ “đổ sông đổ biển”.
Phương pháp khắc phục dứt điểm từ Bác sĩ chuyên khoa
Tùy thuộc vào mức độ tổn thương của mô nướu và nguyên nhân gây bệnh, các bác sĩ chuyên khoa tại Bệnh viện Răng Hàm Mặt Sài Gòn Tâm Đức sẽ lên phác đồ điều trị chuyên biệt, cá nhân hóa cho từng trường hợp:
Xử lý đối với trường hợp nhẹ
Nếu tình trạng mới ở giai đoạn khởi phát, nướu chỉ sưng đỏ và lộ chân răng mức độ nhẹ (do vệ sinh kém), bác sĩ sẽ tiến hành can thiệp bảo tồn:
- Cạo vôi răng siêu âm: Làm sạch triệt để mảng bám, vôi răng dưới nướu để loại bỏ ổ vi khuẩn gây viêm.
- Bôi Gel Fluor/Trám cổ răng: Giúp bít kín các ống ngà bị lộ, khắc phục ngay lập tức tình trạng ê buốt.
- Điều chỉnh lại phác đồ: Bác sĩ sẽ tháo bớt lực siết của dây cung, thay dây mềm hơn hoặc tạm ngưng kéo răng để nướu có thời gian nghỉ ngơi và phục hồi. Cung cấp nước súc miệng kháng viêm chuyên dụng.
Can thiệp ngoại khoa cho tình trạng nặng (Ghép nướu)
Khi nướu đã tụt quá sâu, không thể tự phục hồi hoặc gây nguy cơ mất răng, bác sĩ bắt buộc phải áp dụng các thủ thuật phẫu thuật nha chu phức tạp:
- Phẫu thuật ghép mô nướu: Bác sĩ sẽ lấy một lượng mô mềm mỏng từ vòm miệng (hoặc sử dụng mô nhân tạo) để cấy ghép, khâu bù đắp vào phần viền nướu đã bị mất. Quá trình này giúp che phủ lại phần chân răng bị lộ, tái tạo cấu trúc bảo vệ sinh lý và khôi phục đường viền nướu thẩm mỹ.
Lưu ý: Phẫu thuật này đòi hỏi tay nghề bác sĩ phải cực kỳ điêu luyện để đảm bảo mô ghép sống sót và tính thẩm mỹ cao nhất. Sau khi nướu lành hẳn, quá trình niềng răng mới được tiếp tục.
Hướng dẫn chăm sóc và phòng ngừa tại nhà (Cách làm đúng)
Để bảo vệ thành quả chỉnh nha và nói KHÔNG với bệnh lý nha chu, việc thay đổi thói quen chăm sóc răng miệng tại nhà là nhiệm vụ bắt buộc. Bệnh viện Răng Hàm Mặt Sài Gòn Tâm Đức hướng dẫn bạn 4 nguyên tắc:
Bước 1: Chọn đúng bàn chải và chải đúng cách
Sử dụng bàn chải lông siêu mềm (hoặc bàn chải rãnh chữ V chuyên cho người niềng). Đặt bàn chải nghiêng góc 45 độ so với viền nướu, chải rung nhẹ tại chỗ hoặc xoay tròn. TUYỆT ĐỐI KHÔNG chà xát ngang.
Bước 2: Trang bị dụng cụ làm sạch kẽ
Bàn chải thường không thể với tới các kẽ răng và khe mắc cài. Bạn bắt buộc phải sử dụng bàn chải kẽ, máy tăm nước và chỉ nha khoa sau mỗi bữa ăn để tống khứ mọi cặn thức ăn cứng đầu.
Bước 3: Tăng cường bảo vệ men răng
Sử dụng kem đánh răng và nước súc miệng có chứa hàm lượng Fluoride phù hợp. Fluoride giúp tái khoáng men răng, củng cố sự vững chắc của cổ răng và ngăn ngừa vi khuẩn sinh sôi.
Bước 4: Điều chỉnh thực đơn thông minh
Luôn cắt nhỏ thức ăn trước khi đưa vào miệng. Ưu tiên thực phẩm mềm, lỏng (cháo, súp, thịt hầm). Tránh xa các loại hạt cứng, đá lạnh, kẹo dẻo dính và hạn chế tối đa thực phẩm nhiều đường.
An tâm chỉnh nha, không lo biến chứng tại Bệnh viện Răng Hàm Mặt Sài Gòn Tâm Đức
Để ca chỉnh nha thành công mỹ mãn mà không gặp phải bất kỳ rủi ro nào, yếu tố then chốt nhất nằm ở việc bạn chọn đúng cơ sở y tế uy tín ngay từ đầu.
Bệnh viện Răng Hàm Mặt Sài Gòn Tâm Đức tự hào là đơn vị tiên phong áp dụng công nghệ chỉnh nha an toàn, bảo vệ sức khỏe răng miệng toàn diện với những cam kết:
- Bác sĩ chuyên khoa giỏi, tính toán lực siết chuẩn xác: Đội ngũ chuyên gia Chỉnh nha am hiểu sâu sắc về sinh cơ học. Bác sĩ sẽ tính toán lực kéo di chuyển răng bằng phần mềm 3D, đảm bảo lực tác động liên tục, nhẹ nhàng, TUYỆT ĐỐI KHÔNG siết ép răng sai kỹ thuật làm tổn thương nướu và xương hàm.
- Thăm khám khắt khe, điều trị triệt để: Trước khi gắn khí cụ, bệnh nhân được chụp phim X-quang CT Cone Beam để tầm soát cấu trúc xương. Bác sĩ sẽ điều trị dứt điểm mọi bệnh lý (sâu răng, viêm nha chu) để tạo nền tảng vững chắc nhất cho quá trình kéo răng.
- Minh bạch và Tận tâm: Trang thiết bị nhập khẩu Châu Âu, phòng khám vô trùng chuẩn Y tế. Chúng tôi cam kết lộ trình điều trị rõ ràng, hợp đồng bảo hành minh bạch chi phí, không phát sinh.
Đừng để những biến chứng không đáng có làm gián đoạn hành trình tìm kiếm nụ cười hoàn mỹ của bạn!
RĂNG BẠN ĐANG BỊ Ê BUỐT, LỘ CHÂN RĂNG KHI NIỀNG?
Hãy điền ngay thông tin vào Form bên dưới hoặc gọi Hotline để Bác sĩ chuyên khoa tại Bệnh viện Răng Hàm Mặt Sài Gòn Tâm Đức thăm khám và cấp cứu kịp thời tình trạng nướu của bạn HOÀN TOÀN MIỄN PHÍ!
Bệnh viện Răng Hàm Mặt Sài Gòn Tâm Đức
- Địa chỉ: 109E Nguyễn Huệ, phường Long Châu, tỉnh Vĩnh Long (Và hệ thống 70 chi nhánh liên tỉnh).
- Hotline tư vấn (24/7): 1900 988 973 – 1900 988 974
- Email: contact@sgtddentalgroup.com
Kết luận
Tụt lợi khi niềng răng là một dấu hiệu cảnh báo nghiêm trọng về sức khỏe nha chu mà bạn tuyệt đối không được lơ là. Nguyên nhân có thể đến từ thói quen vệ sinh kém của bản thân hoặc do sai sót trong kỹ thuật điều trị của bác sĩ.
Dù ở mức độ nào, bạn cũng cần nhanh chóng đến Bệnh viện chuyên khoa để được chẩn đoán chính xác và can thiệp y khoa (từ cạo vôi răng đến phẫu thuật ghép nướu) để ngăn chặn nguy cơ mất răng. Hãy luôn ghi nhớ, một nụ cười đẹp phải được xây dựng trên một nền tảng nướu và xương hàm thực sự khỏe mạnh. Bệnh viện Răng Hàm Mặt Sài Gòn Tâm Đức luôn sẵn sàng đồng hành và bảo vệ nụ cười của bạn trên mọi chặng đường!









