Bọc răng sứ tại Bệnh viện Răng Hàm Mặt Sài Gòn Tâm Đức

12 Ưu nhược điểm của trồng răng Implant mới nhất 2026

Picture of Hoàng Hữu Tùng
Hoàng Hữu Tùng

BS. CKI Hoàng Hữu Tùng | Hơn 26 năm kinh nghiệm Gây mê hồi sức, chuyên thực hiện các ca phẫu thuật phức tạp và bệnh nhân nguy cơ cao. Ông từng làm việc tại Vinmec, Kangnam và hiện là Phó Trưởng khoa tại Bệnh viện Răng Hàm Mặt Sài Gòn Tâm Đức.

Mục lục

Tóm tắt bài viết này với:

Ưu nhược điểm của trồng răng implant là gì? Ưu điểm lớn nhất của Implant là ngăn chặn tiêu xương hàm, phục hồi 100% lực nhai và thẩm mỹ trọn đời mà không cần mài răng thật. Nhược điểm chính là chi phí cao, thời gian điều trị dài (3-6 tháng) và đòi hỏi bác sĩ tay nghề cực giỏi. Tại Bệnh viện Răng Hàm Mặt Sài Gòn Tâm Đức, chúng tôi giúp bạn làm chủ công nghệ này một cách an toàn nhất.

uu nhuoc diem cua trong rang implant 1

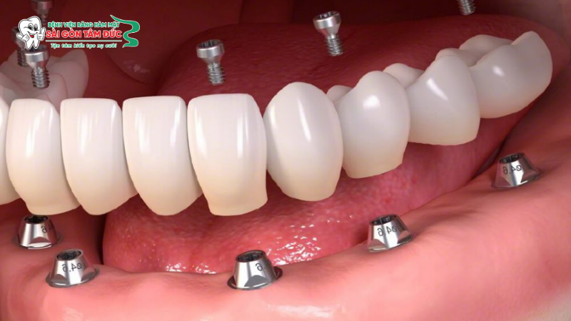
Trồng răng Implant là gì?

Trồng răng Implant là một kỹ thuật nha khoa chuyên sâu, nhằm thay thế một, nhiều hoặc toàn bộ chân răng đã mất. Bác sĩ sẽ tiến hành cấy ghép một trụ nhỏ làm từ hợp kim Titanium sinh học trực tiếp vào bên trong xương hàm.

uu nhuoc diem cua trong rang implant 2

Sau một thời gian, khi trụ Titanium này đã tích hợp cứng chắc và trở thành một phần của cơ thể (đóng vai trò như chân răng thật), một mão răng sứ có hình dáng và màu sắc tự nhiên sẽ được gắn cố định lên trên thông qua khớp nối Abutment. Đây được công nhận là phương pháp phục hình y khoa tiên tiến nhất thế giới hiện nay, mang lại chiếc răng giả hoàn hảo nhất cả về cấu trúc lẫn chức năng.

Ưu điểm của trồng răng Implant

So với các phương pháp truyền thống như hàm giả tháo lắp hay làm cầu răng sứ, cấy ghép Implant mang lại những lợi ích mang tính đột phá sau đây:

Ngăn chặn triệt để tình trạng tiêu xương hàm

Đây là ưu điểm độc quyền và giá trị nhất của Implant. Khi bạn mất răng, phần xương hàm tại vị trí đó không còn chịu lực nhai kích thích sẽ dần bị tiêu biến (ngót đi). Hàm tháo lắp hay cầu răng sứ chỉ phục hình được thân răng bên trên, hoàn toàn bất lực trước tình trạng này. 

uu nhuoc diem cua trong rang implant 3

Ngược lại, trụ Implant cắm sâu vào xương sẽ liên tục truyền tải lực cơ học khi nhai, giúp duy trì mật độ xương, ngăn chặn triệt để tình trạng tụt lợi, hóp má và biến dạng khuôn mặt.

Bảo tồn tối đa răng thật kế cận

Nếu chọn phương pháp làm cầu răng sứ, bác sĩ bắt buộc phải mài nhỏ 2 chiếc răng khỏe mạnh bên cạnh khoảng mất răng để làm trụ đỡ. Việc mài răng này ít nhiều sẽ làm suy giảm tuổi thọ của răng thật, dễ gây ê buốt hoặc viêm tủy về sau. 

Với Implant, mỗi chiếc răng giả là một cá thể hoạt động hoàn toàn độc lập. Quá trình cấy ghép không hề xâm lấn hay gây bất kỳ tổn thương nào cho các răng lân cận, giúp bảo vệ sức khỏe răng miệng toàn diện.

Khôi phục chức năng ăn nhai và thẩm mỹ hoàn hảo

Sau khi trụ Titanium tích hợp chắc chắn vào xương, nó có khả năng chịu lực nén và lực uốn cong cực kỳ ấn tượng. Bạn có thể thoải mái ăn nhai, cắn xé các món ăn dai, cứng, nóng hoặc lạnh mà không sợ răng bị lung lay hay gãy vỡ. 

uu nhuoc diem cua trong rang implant 4

Đồng thời, phần mão sứ bên trên được thiết kế bằng công nghệ CAD/CAM 3D, mang lại màu sắc trong bóng, vân răng tự nhiên y hệt như răng thật, giúp bạn tự tin nở nụ cười rạng rỡ.

Tuổi thọ bền bỉ, an toàn với cơ thể

Titanium là một vật liệu y tế quý hiếm, nổi tiếng với tính tương thích sinh học cực cao. Khi cấy vào cơ thể, nó hoàn toàn lành tính, không gây phản ứng đào thải, dị ứng hay viêm nhiễm nướu. 

Theo nghiên cứu lâm sàng, nếu được cấy ghép đúng kỹ thuật và bệnh nhân chăm sóc vệ sinh răng miệng tốt, một chiếc răng Implant có thể tồn tại ổn định từ 20 năm, 30 năm, thậm chí là vĩnh viễn trọn đời.

Nhược điểm của trồng răng Implant

Dù là phương pháp phục hình tối ưu nhất, cấy ghép Implant vẫn tồn tại một số rào cản nhất định mà khách hàng cần nắm rõ để chuẩn bị tốt nhất về tâm lý và tài chính:

Đòi hỏi khắt khe về tay nghề bác sĩ và thiết bị y tế

Đây là một ca phẫu thuật can thiệp sâu vào cấu trúc giải phẫu của xương hàm, nơi chứa hệ thống dây thần kinh và mạch máu phức tạp. Chỉ một sai sót nhỏ của bác sĩ (khoan sai hướng, chọn sai kích thước trụ) cũng có thể dẫn đến hậu quả khôn lường như: đứt dây thần kinh, thủng xoang hàm, nhiễm trùng và đào thải trụ.

uu nhuoc diem cua trong rang implant 5

Bệnh viện Răng Hàm Mặt Sài Gòn Tâm Đức khuyên: Bạn tuyệt đối không nên thực hiện Implant tại các phòng khám nhỏ lẻ, thiếu trang thiết bị chụp phim 3D và phòng mổ vô trùng.

Chi phí đầu tư ban đầu khá cao

Không thể phủ nhận rào cản lớn nhất của Implant chính là giá thành. So với hàm giả tháo lắp hay cầu răng sứ, chi phí cắm Implant cao hơn đáng kể (dao động từ 10 – 35 triệu VNĐ/răng). Nguyên nhân là do vật liệu Titanium rất đắt đỏ, phải nhập khẩu 100% từ nước ngoài, cộng thêm chi phí khấu hao của các trang thiết bị y tế tối tân phục vụ ca mổ.

Tuy nhiên, nếu xét bài toán kinh tế đường dài, Implant lại là giải pháp tiết kiệm nhất. Thay vì cứ 5-7 năm phải bỏ tiền làm lại hàm giả mới do nướu bị teo ngót, Implant chỉ cần đầu tư 1 lần duy nhất để sử dụng đến cuối đời.

Thời gian điều trị kéo dài hơn bình thường

Quá trình cấy ghép Implant không dành cho những người nôn nóng. Trừ một số trường hợp xương hàm cực kỳ tốt có thể phục hình tức thì, đa số bệnh nhân đều phải trải qua giai đoạn chờ đợi từ 3 đến 6 tháng để trụ Titanium tạo liên kết sinh học vững chắc với mô xương hàm (Osseointegration) trước khi gắn mão răng sứ cố định lên trên.

Kén đối tượng thực hiện

Vì là một thủ thuật phẫu thuật, cấy ghép Implant có những chống chỉ định y khoa khắt khe. Phương pháp này KHÔNG ĐƯỢC áp dụng cho:

  • Trẻ em dưới 16 – 18 tuổi, khi cấu trúc xương hàm và hệ thống răng chưa phát triển hoàn thiện, ổn định.
  • Bệnh nhân mắc các bệnh lý nền nặng (tiểu đường, tim mạch, huyết áp cao, rối loạn đông máu) chưa được kiểm soát tốt bằng thuốc.
  • Phụ nữ đang trong thời kỳ mang thai.

Có nên lựa chọn trồng răng Implant không?

Sau khi phân tích kỹ lưỡng ưu nhược điểm của trồng răng implant, chúng ta có thể dễ dàng nhận thấy: Những nhược điểm của phương pháp này đa phần đến từ yếu tố chủ quan (lựa chọn sai cơ sở nha khoa kém chất lượng) và rào cản về mặt chi phí, thời gian ban đầu.

Tuy nhiên, nếu đặt lên bàn cân so sánh giữa những giá trị vô giá về mặt sức khỏe (ngăn tiêu xương, ăn nhai tốt, bảo vệ răng thật) và độ bền vững trọn đời với những rủi ro lỏng lẻo, đau đớn của các phương pháp cũ, thì Trồng răng Implant chắc chắn là sự lựa chọn số 1, là khoản đầu tư thông minh và hoàn toàn xứng đáng. Đây cũng là giải pháp phục hình duy nhất được giới chuyên môn y khoa trên toàn cầu khuyến cáo bệnh nhân nên thực hiện càng sớm càng tốt sau khi mất răng.

Trải nghiệm cấy ghép Implant an toàn, chất lượng tại Bệnh viện Răng Hàm Mặt Sài Gòn Tâm Đức

Để biến những nhược điểm khắt khe của Implant trở thành ưu thế vượt trội, Bệnh viện Răng Hàm Mặt Sài Gòn Tâm Đức tự hào là đơn vị tiên phong làm chủ công nghệ cấy ghép Implant chuẩn Quốc tế. Hàng ngàn khách hàng đã trao gửi niềm tin tại đây nhờ những giá trị bảo chứng:

  • Đội ngũ chuyên gia: Các Bác sĩ Răng Hàm Mặt có chứng chỉ cấy ghép Implant chuyên sâu, tay nghề cao, thao tác phẫu thuật chuẩn xác, nhẹ nhàng, đảm bảo an toàn tuyệt đối và không gây đau đớn.
  • Công nghệ tối tân: Sở hữu phòng phẫu thuật vô trùng áp lực dương chuẩn, trang bị máy chụp cắt lớp CT 3D Cone Beam hiện đại nhất giúp khảo sát xương hàm chính xác đến từng milimet.
  • Minh bạch & An tâm tuyệt đối: Sử dụng 100% trụ Implant nhập khẩu chính hãng (Mỹ, Thụy Sĩ, Pháp, Hàn Quốc…). Cung cấp thẻ bảo hành chính hãng toàn cầu. Cam kết minh bạch bảng giá, không phát sinh bất kỳ chi phí ẩn nào.
  • Hỗ trợ tài chính linh hoạt: Để xóa bỏ rào cản chi phí, Bệnh viện triển khai các chương trình ưu đãi trợ giá với thủ tục cực kỳ đơn giản.

Bệnh viện Răng Hàm Mặt Sài Gòn Tâm Đức

  • Địa chỉ: 109E Nguyễn Huệ, phường Long Châu, tỉnh Vĩnh Long (Và hệ thống 70 chi nhánh liên tỉnh).
  • Hotline tư vấn (24/7): 1900 988 973 – 1900 988 974
  • Email: contact@sgtddentalgroup.com

Kết luận

Bài viết trên đã phân tích chi tiết toàn bộ ưu nhược điểm của trồng răng implant dưới góc nhìn chuyên môn y khoa. Có thể khẳng định, dù chi phí ban đầu khá cao và đòi hỏi bác sĩ có tay nghề giỏi, nhưng những giá trị bền vững mà Implant mang lại như: ngăn tiêu xương, phục hồi sức nhai hoàn hảo và độ bền trọn đời là hoàn toàn không thể thay thế bằng bất kỳ phương pháp nào khác. Nếu bạn đang bị mất răng, hãy sáng suốt lựa chọn các Bệnh viện Răng Hàm Mặt Sài Gòn Tâm Đức uy tín để thực hiện cấy ghép an toàn, mang lại kết quả như ý và bảo vệ sức khỏe răng miệng lâu dài. 

Đánh giá bài viết post

Để lại một bình luận

Email của bạn sẽ không được hiển thị công khai. Các trường bắt buộc được đánh dấu *

ĐĂNG KÝ LỊCH HẸN

Chúng tôi cam kết bảo mật tuyệt đối thông tin cá nhân; nội dung từ hệ thống chỉ mang tính tham khảo và chúng tôi miễn trừ trách nhiệm đối với các quyết định cá nhân.